Implanty zębów to nowoczesne rozwiązanie, które zyskuje coraz większą popularność w Lublinie. Dzięki nim pacjenci mogą cieszyć się pełnym uśmiechem oraz poprawić swoją jakość życia. Jedną z głównych korzyści jest ich trwałość. Implanty są wykonane z materiałów biokompatybilnych, co oznacza, że organizm dobrze je toleruje. W przeciwieństwie do tradycyjnych protez, implanty nie wymagają specjalnej pielęgnacji i nie przesuwają się w jamie ustnej, co zwiększa komfort ich noszenia. Dodatkowo, implanty pomagają w zachowaniu struktury kości szczęki, co jest niezwykle istotne dla zdrowia jamy ustnej. Utrata zębów prowadzi do zaniku kości, a implanty stymulują jej regenerację. W Lublinie dostępne są różnorodne opcje implantologiczne, co pozwala na dopasowanie leczenia do indywidualnych potrzeb pacjenta. Warto również wspomnieć o estetyce – implanty wyglądają jak naturalne zęby, co wpływa na pewność siebie pacjentów i ich samopoczucie.
Jak przebiega proces wszczepienia implantów w Lublinie
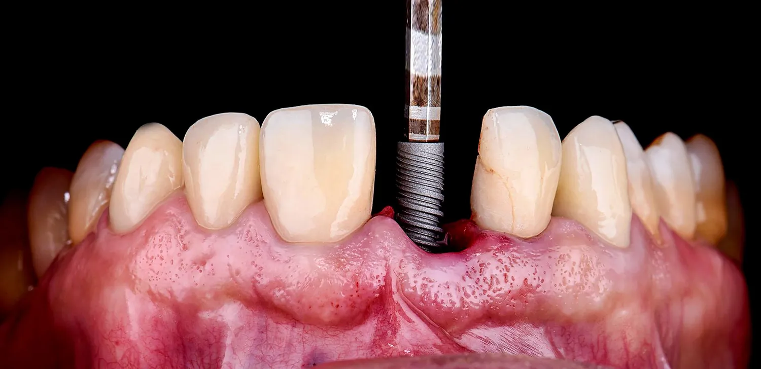
Proces wszczepienia implantów zębów w Lublinie składa się z kilku kluczowych etapów, które są starannie zaplanowane przez lekarza stomatologa. Pierwszym krokiem jest szczegółowa konsultacja, podczas której lekarz ocenia stan zdrowia pacjenta oraz wykonuje zdjęcia rentgenowskie. Na podstawie tych informacji można określić, czy pacjent kwalifikuje się do zabiegu oraz jakie będą najlepsze opcje leczenia. Następnie przeprowadza się zabieg chirurgiczny polegający na wszczepieniu implantu do kości szczęki. Jest to procedura wykonywana w znieczuleniu miejscowym, co minimalizuje dyskomfort pacjenta. Po wszczepieniu implantu następuje okres gojenia, który trwa zazwyczaj kilka miesięcy. W tym czasie implant integruje się z kością, co jest kluczowe dla jego stabilności. Po zakończeniu procesu gojenia można przystąpić do wykonania korony protetycznej, która zostanie umieszczona na implancie.
Jakie są koszty implantów zębów w Lublinie

Koszty związane z wszczepieniem implantów zębów w Lublinie mogą się znacznie różnić w zależności od wielu czynników. Przede wszystkim cena zależy od rodzaju implantu oraz materiału, z którego jest wykonany. W Lublinie można znaleźć zarówno tańsze opcje, jak i droższe rozwiązania premium. Dodatkowo koszty mogą wzrosnąć w przypadku konieczności przeprowadzenia dodatkowych zabiegów, takich jak augmentacja kości czy sinus lifting, które są niezbędne do przygotowania miejsca pod implanty. Ważnym aspektem jest również wybór kliniki stomatologicznej oraz doświadczenie lekarza prowadzącego leczenie. Warto zwrócić uwagę na opinie innych pacjentów oraz dostępność nowoczesnego sprzętu medycznego. Niektóre kliniki oferują możliwość rozłożenia płatności na raty lub finansowania zabiegów poprzez różne programy zdrowotne.
Jak dbać o implanty zębów po zabiegu w Lublinie
Po wszczepieniu implantów zębów w Lublinie niezwykle istotne jest odpowiednie dbanie o higienę jamy ustnej oraz regularne wizyty kontrolne u stomatologa. Po zabiegu pacjenci powinni stosować się do zaleceń lekarza dotyczących pielęgnacji implantu oraz otaczających tkanek. Kluczowe jest codzienne szczotkowanie zębów oraz używanie nici dentystycznej lub irygatora, aby usunąć resztki pokarmowe i płytkę bakteryjną wokół implantu. Należy unikać twardych pokarmów przez pierwsze dni po zabiegu oraz stosować dietę bogatą w składniki odżywcze wspierające gojenie się tkanek. Regularne wizyty kontrolne pozwalają na monitorowanie stanu implantu oraz wykrycie ewentualnych problemów na wczesnym etapie. Warto również pamiętać o rzuceniu palenia oraz ograniczeniu spożycia alkoholu, ponieważ te czynniki mogą negatywnie wpłynąć na proces gojenia i trwałość implantu.
Jakie są przeciwwskazania do wszczepienia implantów w Lublinie
Wszczepienie implantów zębów w Lublinie, mimo że jest procedurą stosunkowo bezpieczną, nie jest odpowiednie dla każdego pacjenta. Istnieje szereg przeciwwskazań, które mogą uniemożliwić przeprowadzenie tego zabiegu. Przede wszystkim, osoby cierpiące na poważne schorzenia ogólnoustrojowe, takie jak cukrzyca, choroby serca czy zaburzenia krzepnięcia krwi, powinny być dokładnie ocenione przez lekarza przed podjęciem decyzji o wszczepieniu implantu. Również pacjenci z aktywnymi infekcjami w jamie ustnej lub chorobami przyzębia mogą być narażeni na większe ryzyko powikłań. Kolejnym czynnikiem jest palenie tytoniu, które może negatywnie wpływać na proces gojenia oraz integrację implantu z kością. W przypadku osób młodych, których kości jeszcze rosną, lekarze często zalecają odroczenie zabiegu do momentu zakończenia wzrostu. Ważne jest również, aby pacjenci mieli odpowiednią ilość tkanki kostnej w miejscu wszczepienia implantu. W przypadku jej niedoboru konieczne mogą być dodatkowe zabiegi, takie jak przeszczep kości.
Jakie są najnowsze technologie w implantologii w Lublinie
Implantologia to dziedzina stomatologii, która dynamicznie się rozwija i w Lublinie można znaleźć wiele nowoczesnych technologii stosowanych w leczeniu implantologicznym. Jednym z najnowszych osiągnięć jest wykorzystanie technologii cyfrowej do planowania zabiegów. Dzięki skanowaniu 3D możliwe jest precyzyjne zaplanowanie miejsca wszczepienia implantu oraz ocena stanu kości pacjenta. To pozwala na minimalizację ryzyka powikłań oraz zwiększa skuteczność zabiegu. Kolejną innowacją są implanty wykonane z zaawansowanych materiałów, takich jak tytan czy ceramika, które charakteryzują się lepszą biokompatybilnością i estetyką. W Lublinie coraz częściej stosuje się również techniki szybkiej rehabilitacji protetycznej, które umożliwiają umieszczenie tymczasowych koron już w dniu wszczepienia implantu. To znacząco poprawia komfort pacjentów i pozwala im cieszyć się pełnym uśmiechem niemal natychmiast po zabiegu. Dodatkowo, wiele klinik oferuje laserowe metody leczenia, które zmniejszają ból i czas gojenia.
Jak przygotować się do zabiegu wszczepienia implantów w Lublinie
Przygotowanie do zabiegu wszczepienia implantów zębów w Lublinie jest kluczowym etapem, który może wpłynąć na jego powodzenie oraz komfort pacjenta. Przed przystąpieniem do procedury ważne jest przeprowadzenie szczegółowej konsultacji ze specjalistą, który oceni stan zdrowia jamy ustnej oraz ogólny stan zdrowia pacjenta. Pacjent powinien dostarczyć lekarzowi pełną historię medyczną oraz listę przyjmowanych leków, co pomoże uniknąć ewentualnych komplikacji podczas zabiegu. Na kilka dni przed planowanym terminem warto unikać spożywania alkoholu oraz palenia tytoniu, ponieważ te czynniki mogą negatywnie wpłynąć na proces gojenia. Lekarz może również zalecić wykonanie badań laboratoryjnych oraz zdjęć rentgenowskich w celu dokładnej oceny stanu kości szczęki. W dniu zabiegu pacjent powinien przybyć na wizytę wypoczęty i dobrze nawodniony. Zaleca się także unikanie jedzenia tuż przed wizytą, aby zminimalizować ryzyko dyskomfortu podczas znieczulenia.
Jak wygląda rehabilitacja po wszczepieniu implantów w Lublinie
Rehabilitacja po wszczepieniu implantów zębów w Lublinie jest kluczowym etapem procesu leczenia i ma na celu zapewnienie optymalnych warunków do gojenia się tkanek oraz integracji implantu z kością. Po zabiegu pacjent może odczuwać pewien dyskomfort lub ból, który można złagodzić za pomocą zaleconych przez lekarza leków przeciwbólowych. Ważne jest również przestrzeganie zasad higieny jamy ustnej – należy delikatnie szczotkować zęby wokół implantu oraz stosować płyny antyseptyczne zgodnie z zaleceniami stomatologa. W pierwszych dniach po zabiegu zaleca się unikanie twardych pokarmów oraz jedzenie miękkich potraw, aby nie obciążać implantu i otaczających tkanek. Regularne wizyty kontrolne są niezbędne do monitorowania postępu gojenia oraz ewentualnego wykrywania problemów na wczesnym etapie. Czas gojenia może wynosić od kilku tygodni do kilku miesięcy, w zależności od indywidualnych warunków anatomicznych pacjenta oraz rodzaju zastosowanego implantu.
Jak wybrać najlepszą klinikę implantologiczną w Lublinie
Wybór odpowiedniej kliniki implantologicznej w Lublinie jest kluczowy dla sukcesu całego procesu leczenia i satysfakcji pacjenta. Przy wyborze warto zwrócić uwagę na kilka istotnych czynników. Przede wszystkim należy sprawdzić doświadczenie i kwalifikacje lekarzy pracujących w danej klinice – ich umiejętności mają ogromny wpływ na jakość przeprowadzanych zabiegów. Dobrze jest również poszukać opinii innych pacjentów na temat konkretnej placówki – pozytywne rekomendacje mogą być dobrym wskaźnikiem wysokiej jakości usług. Kolejnym aspektem jest wyposażenie kliniki – nowoczesny sprzęt medyczny oraz dostęp do innowacyjnych technologii mogą znacząco wpłynąć na komfort i bezpieczeństwo leczenia. Należy także zwrócić uwagę na oferowane metody finansowania – wiele klinik proponuje różnorodne opcje płatności lub możliwość rozłożenia kosztów na raty, co może być istotne dla wielu pacjentów.
Jak długo trwa proces gojenia po wszczepieniu implantów w Lublinie
Czas gojenia po wszczepieniu implantów zębów w Lublinie jest uzależniony od wielu czynników i może wynosić od kilku tygodni do kilku miesięcy. Kluczowym elementem tego procesu jest integracja implantu z kością szczęki, co oznacza, że implant musi stać się stabilny i mocno osadzony w tkance kostnej przed przystąpieniem do dalszego etapu leczenia protetycznego. Zazwyczaj okres gojenia trwa od trzech do sześciu miesięcy, jednak u niektórych pacjentów może być dłuższy lub krótszy w zależności od indywidualnych warunków anatomicznych oraz ogólnego stanu zdrowia. W czasie gojenia ważne jest przestrzeganie zaleceń lekarza dotyczących diety oraz higieny jamy ustnej – unikanie twardych pokarmów oraz regularne mycie zębów pomogą zapewnić optymalne warunki do regeneracji tkanek. Regularne wizyty kontrolne są niezbędne do monitorowania postępu gojenia oraz wykrywania ewentualnych problemów na wczesnym etapie.






Więcej artykułów
Prywatny ośrodek leczenia alkoholizmu mazowieckie
Czy łóżka rehabilitacyjne są refundowane?
Na ile zębów zakłada się licówki?